Gallery

Blog

Soft calcium

Case of Calcific periarteritis - soft calcium deposition in the dorsal recess of wrist joint causing inflammation and pain

Blog

Anteromedial ankle impingement

Case of Anteromedial ankle impingement due to osteophytic growths at Tibia and head of Talus bone

Blog

Patellar fat pad impingement

Case of Hoffas fat pad impingement between Patellar tendon and lateral femoral condyle

Blog

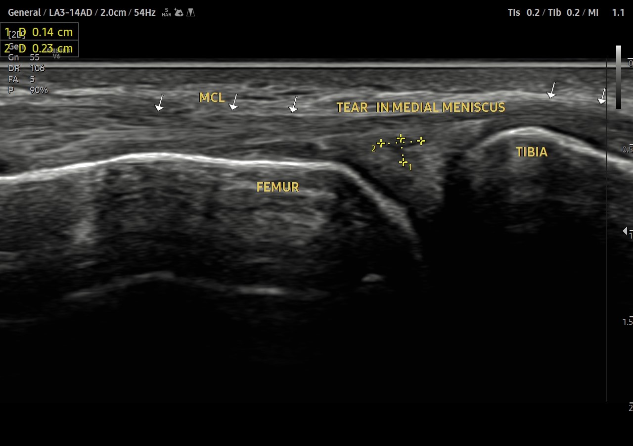
Meniscal tearusg

Anechoic tear in the Peripheral third of posterior body of medial meniscus

Blog

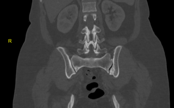
osteitis condenses ilii

Case of Left osteitis condenses ilii